
歯並びを整えて健康で美しい口元へ
歯並びは見た目だけの問題ではありません。 虫歯や歯周病がなく、清潔に保たれた歯はとても気持ちの良いものです。しかし歯並びに問題がある場合、日々のセルフケアだけでは改善できません。 歯並びが乱れていると、歯が重なった部分や隙間に食べ物が詰まりやすくなり、歯磨きが難しくなります。その結果、虫歯や歯周病のリスクが高まりやすくなります。また、噛む力が弱くなることで消化器に負担がかかることもあります。 さらに噛み合わせの乱れは全身のバランスにも影響すると言われています。肩こりや頭痛、腰痛などの不調の背景に、噛み合わせが関係しているケースも少なくありません。 健康で美しい口元は、見た目だけでなく、毎日の快適さや将来の健康にも深く関わっています。歯並びが気になっている方は、ぜひ一度ご相談ください。
矯正歯科選びに失敗しないために
重要なこと
装置で選ぶ時代から「総合力で選ぶ時代」へ
近年、マウスピース矯正の普及により矯正治療は身近なものになりました。一方で「装置の種類だけで歯科医院を選んでしまった」という相談も増えています。
矯正治療は単に歯を並べるだけの治療ではありません。骨格・噛み合わせ・歯肉の状態・将来のリスクまで含めて総合的に診断する必要があります。
同じ装置を使用していても、診断や治療計画によって結果は大きく変わります。
矯正は「誰が診断するか」で結果が変わります
矯正治療で最も重要なのは装置ではなく診断力です。
- どの装置を選ぶべきか
- 抜歯が必要か
- 歯肉退縮のリスクはあるか
- 治療後の顔立ちはどう変化するか
これらはすべて専門的な診断によって決まります。
大人の矯正について

大人でも矯正は何歳からでも可能です。矯正治療は子どもだけのものではありません。近年では40代〜50代の方でも矯正治療を始める方も増えてきております。歯並びをきれいにするだけではなく、咬み合わせを整えることでご自身の歯を長く守ることに繋がります。矯正相談からでも承りますので、矯正治療を検討されたらまずは当院へご連絡ください。
大人の矯正のメリット
- 歯磨きしやすくなる
- 虫歯・歯周病予防
- 噛み合わせ改善
- 顔立ちのバランス改善
歯並びを整えることは、歯の健康寿命を延ばすことにもつながります。
子どもの矯正治療について

子どもの矯正は成長を利用できる点が最大の特徴です。顎の発育に合わせて歯が並ぶスペースを確保できるため、将来的に抜歯を回避できる可能性が高まります。また歯並びの改善は【噛む力・呼吸 ・発音】 などの機能改善にもつながります。
一期治療と二期治療
一期治療では顎の成長を利用し、歯が並ぶ土台を整えます。 二期治療では永久歯が生え揃った後、歯を正しい位置へ動かして噛み合わせを整えます。 多くの場合、永久歯が生え揃ったタイミングで二期治療を開始することが多いですが、当院では子どもの顎の発育にも注目しており、一期治療のメリットを受けられるタイミングを逃さないように注意しています。
子どもの矯正治療のメリット
- 顎の成長に合わせて治療できる
- 食べ物を噛む力や呼吸・会話などの機能改善
- 矯正期間を短くできる
- 見た目のバランスが整い、コンプレックス解消につながる
当院の矯正歯科の特徴

日本矯正歯科学会認定医が治療を担当
当院の矯正治療は日本矯正歯科学会認定医であり、日本包括的矯正歯科学会のインストラクターを務める宮野が担当致します。矯正治療は長期間にわたる医療です。担当医が変わらず一貫して治療を行うことで、精度の高い治療と安心感を両立しています。

専門性のある歯科医師が連携した難症例対応
当院では歯周病・審美歯科・根管治療(歯を残す治療)・インプラントに強い歯科医師と矯正医が互いの専門性を掛け合わせた難症例にも対応しています。これは矯正治療の中でも高度な知識と臨床経験が求められます。そのため、他院で難しいと判断された症例にも対応可能です。

歯肉移植(歯ぐき下がり)によるリカバリーが可能
当院の大きな特徴は、矯正治療のリスクに対するリカバリー体制が整っていることです。
歯肉退縮が起こった場合、歯周形成外科による歯肉移植で改善することが可能です。
矯正治療と歯周外科を同じ医院で行えるため、リスクを想定した安全性の高い矯正治療を提供できます。これは矯正専門医院にはない大きな強みです。
審美歯科・ホワイトニングなどの
歯科治療にも対応

矯正で歯並びがきれいになったから、銀歯も一緒に白くしたい。ホワイトニングで歯の色を白くしたいという要望にもお答えすることができます。また、矯正治療の前に虫歯治療をしたいなどのご要望にも対応いたしますので、お気軽にご相談ください。
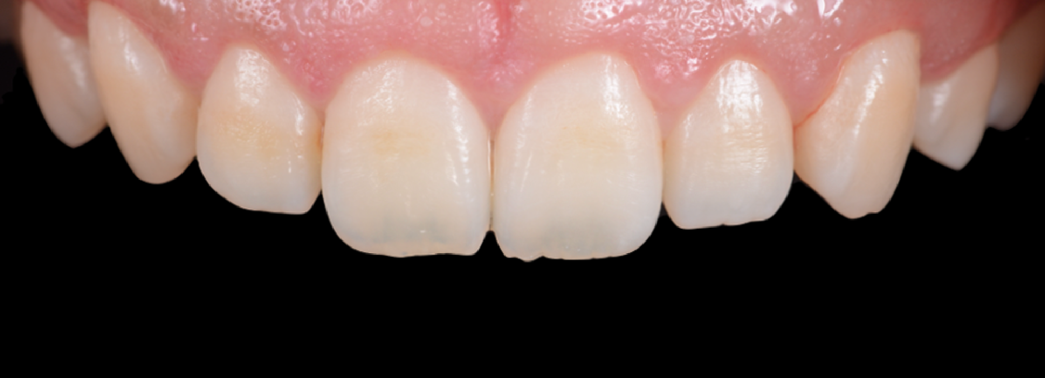
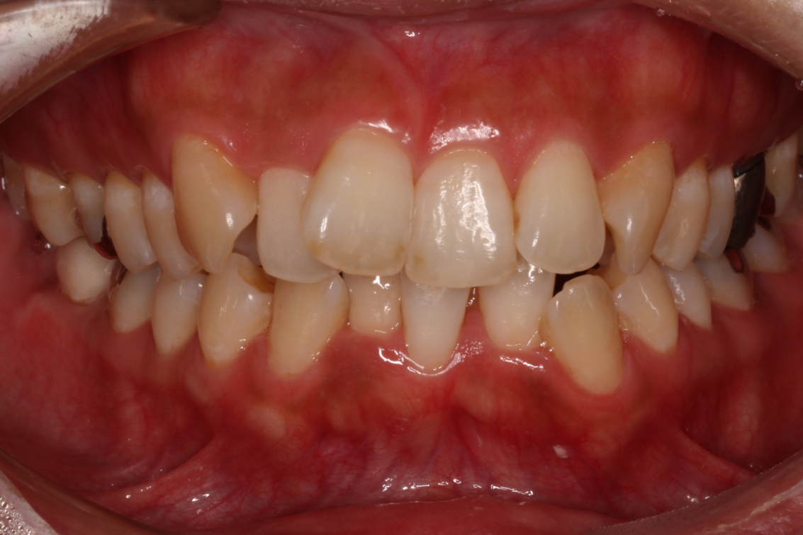
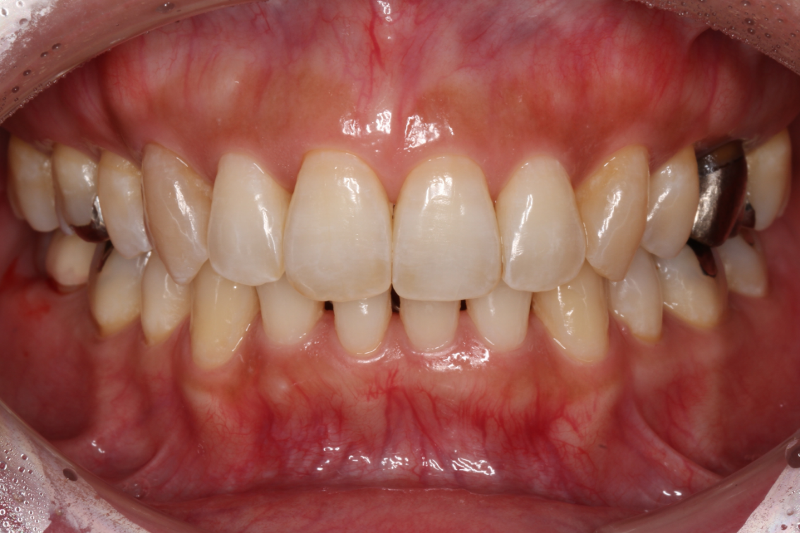
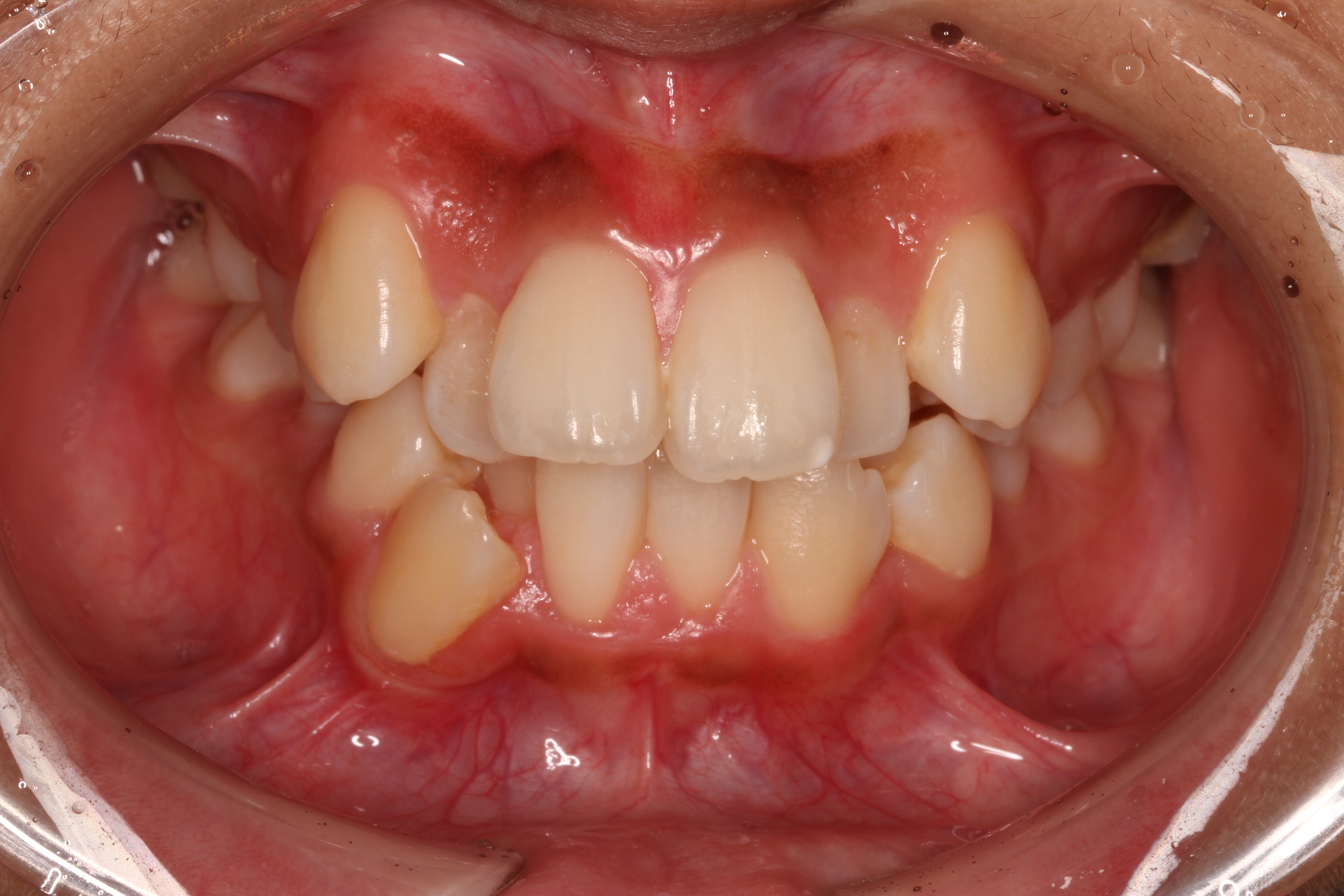
矯正治療の症例紹介


- 患者様情報30代 女性
- 来院動機歯並びが気になる
- 治療内容矯正治療
- 治療期間約2年
- 治療費用1,109,900円(税込)
検査費、治療費、月々の調整費込 - 治療のリスク歯肉退縮の可能性がある、装置装着の痛みを感じる場合がある


- 患者様情報30代 女性
- 来院動機歯並びが気になる
- 治療内容矯正治療
- 治療期間1年5ヶ月
- 治療費用1,063,700円(税込)
検査費、治療費、月々の調整費込 - 治療のリスク歯肉退縮の可能性がある、装置装着の痛みを感じる場合がある
矯正治療の流れ
-
1
矯正相談・カウンセリング
まずは現在のお悩みやご希望を丁寧に伺います。 歯並び・装置・費用・期間など、不安や疑問は何でもご相談ください。
-
2
精密検査・診断
治療を希望される場合は、精密検査を行います。
口腔内スキャン / レントゲン撮影 / 噛み合わせ分析
これらのデータをもとに、治療計画を作成します。
治療期間・装置・費用をわかりやすくご説明し、ご納得いただいたうえで治療を開始します。 -
3
治療開始・定期調整
装置装着後は月1回程度の通院で調整を行います。
治療中も虫歯予防や口腔管理を並行して行います。 -
4
保定期間・メンテナンス
歯並びが整った後は保定装置を使用し、後戻りを防ぎます。
定期検診とメンテナンスで、長期的に歯並びを守っていきます。
矯正歯科によくある質問
マウスピースとワイヤーで迷っています
最適な装置は診断によって決まります。装置それぞれに特徴があります。
当院ではすべての装置に対応しているため、最適な方法をご提案できます。
矯正は何歳から始められますか?
大人の方は何歳からでも始めることができます。
お子さまの一期治療をご検討の方は6歳くらいから相談にきていただくことをおすすめしています。
矯正中に虫歯になりませんか?
矯正中は虫歯リスクが高まるため、当院では歯科衛生士による定期的なクリーニングと検診を行っています。総合歯科だからこそ安心して治療を続けられます。
矯正期間はどれくらいですか?
症例によって異なりますが、約1年〜2年が目安です。
矯正治療終了後は保定装置の期間が治療期間と同様の期間必要になります。
歯肉退縮が心配です
歯肉退縮が起こった場合でも、歯肉移植による改善が可能です。矯正後の見た目まで責任を持って治療します。
通院頻度はどれくらいですか?
通常は月1回程度の通院です。
浦安で矯正歯科をお探しなら
当院へご相談ください

矯正治療は長期間にわたる医療です。だからこそ、次の3つが重要になります。
- 専門性の高い診断
- 装置の選択肢
- リスクへのリカバリー体制
当院ではこれらすべてを備えた矯正治療を提供しています。
歯並びが整うと、笑顔・健康・自信が変わります。まずはお気軽に矯正相談へお越しください。
当院は痛くない歯科治療を
目指しています。
歯科治療には「痛い」というイメージが先行しがちです。
痛みとその恐怖のストレスで体がこわばると、より痛みを感じやすくなります。
当院では痛くない治療を目指して、麻酔にもこだわっています。安心して受診ください。
痛くない麻酔の秘密
表面麻酔を塗布
麻酔針が刺さるときの痛みを感じさせないように、まずは歯肉に表面麻酔を必ず塗布して感覚を麻痺させます。
極細の麻酔針を使用
通常よりも極細の麻酔針を用いて、できるだけ痛点を刺激せず、痛みを発生させないように麻酔を行ないます。
麻酔薬の温度調節
使用する麻酔薬をあらかじめ人間の体温程度に温めることで、温度差による痛みのリスクを低減させています。
電動麻酔器を使用
麻酔針の注入スピードをコントロールし、無駄な圧力で発生する痛みを抑えた電動麻酔器を使用しています。









