インプラントの前に「自分の歯を移植する」という選択を
歯抜歯を宣告されたとき、必ずしも人工物で補う必要はありません。 親知らずなど、ご自身の不要歯を抜歯部へ移植する「自家歯牙移植(歯の移植)」なら、 天然歯にしか存在しない歯根膜を活かした治療が可能です。 浦安ブランデンタルオフィスでは、歯科用CTと精密診断によって移植の適否を慎重に判断し、 必要に応じてインプラントとの比較説明も行います。「できる限り自分の歯を残したい」そんな思いに寄り添います。


自家歯牙移植とは
親知らずや埋伏歯など、噛み合わせに関与しない歯を抜歯予定部位へ移す治療です。
歯根膜ごと移植することで骨や歯ぐきと自然に馴染み、咬合圧や食感を繊細に感じ取れる点が最大の特徴です。
このような方にご提案しています
- 抜歯を避けられず、親知らずが残っている方
- インプラントよりも自然な感覚を残したい方
- 先天的に歯の数が少ない方
高齢の方では生着率が下がるため、初期からインプラントを検討したほうがよい場合もあります。そのため、まずはご相談からいらしてください。
自家歯牙移植は半世紀以上の歴史ある治療です
1950〜60年代にはすでに臨床報告があり、虫歯で失った第一大臼歯へ根未完成の智歯を移植する試みが行われていました。その後、1970年代以降の組織学・病理学研究により、歯根膜を守ることこそ成功の鍵とする生物学的原則が確立されました。
いまではCT診断とマイクロレベルの外科技術によって、高い再現性をもつ治療法として確立されています。
インプラントと自家歯牙移植の比較
| 項目 | インプラント | 自家歯牙移植 |
|---|---|---|
| ドナー歯 | 不要 | 必要(親知らずなど) |
| 外科処置箇所 | 1か所 | 2か所(ドナー・受容側) |
| 骨条件 | 最低限必要 | 不足でも歯根膜の誘導で補える |
| 防御機構 | なし | あり(歯根膜が生きる) |
| 感覚 | やや鈍い | 天然歯と同様の繊細な感覚 |
| 矯正との併用 | 不可 | 可能(条件あり) |
| 若年者 | 不向き | 適応しやすい |
| 治療期間 | 約2〜3か月 | 約3〜12か月(症例差あり) |
自家歯牙移植のメリットと当院の特徴
自家歯牙移植のメリット
インプラントとの決定的な違いは、歯根膜が残ることです。
歯根膜には以下の機能があります。
- 咬合力を吸収するクッション機能
- 細菌から骨を守る防御作用
- 微細な圧を感知するセンサー機能
天然歯は1〜10g程度の力で圧を感知しますが、インプラントでは100g以上とされます。
つまり、自分の歯を移植することは「噛む感覚を取り戻す治療」でもあります。
自家歯牙移植を行うタイミング
歯を抜いたその日に移植する「抜歯即時移植」が最も治癒に有利です。
抜歯窩の側壁に残る歯根膜が活性化し、治癒を促すためです。ただし次のようなケースでは、数週間待ってからの早期移植を選択します。
- 移植歯と受容側のサイズ差が大きい
- 歯肉封鎖が難しい(360°覆えない)
- 根尖病変や嚢胞など感染が強い場合
いずれも、封鎖・固定・感染管理を丁寧に行うことで良好な経過が得られます。
浦安ブランデンタルオフィスの特徴
- 歯科用CT完備/3Dシミュレーションによる高精度診断
- 麻酔専門医による静脈内鎮静法で、眠っている間に処置が可能
- 骨造成・歯周再生療法との併用で骨や歯ぐきの不足にも対応
- 担当衛生士制+ドクターチェックで長期安定をサポート
- 完全個室の診療・カウンセリングでプライバシーを確保
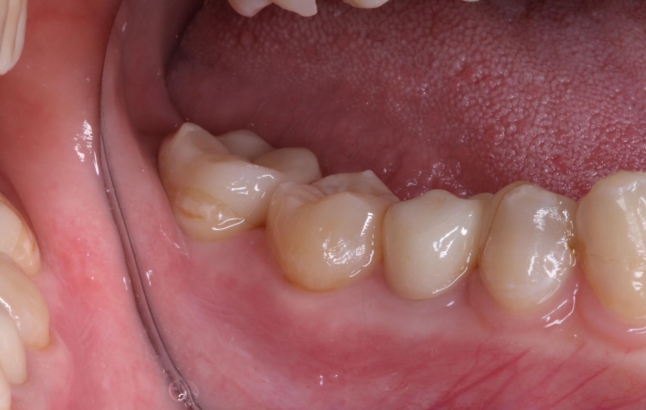
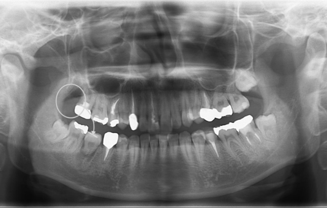
歯牙移植による右下部位の治療例






- 年代、性別 20代・女性
- 来院動機 他院で右下の歯を抜き、インプラントを勧められたが、歯牙移植ができないか相談したいと来院されました。
- 治療内容 右下の残せない歯を抜歯し、ご自身の不要な親知らずを取り出して、右下の抜歯部に移植しました。
- 治療期間 約2週間
- 治療費用 176,000円(税込)
治療のリスク
- 移植した歯が定着しない場合があります(歯根膜の損傷などによる)
- 歯の根が溶けたり、骨と癒着して動かなくなる(アンキローシス)ことがあります
- 感染や腫れ、痛みが出ることがあります
- 成功率はおおむね80〜90%と報告されていますが、年齢・歯の状態・噛み合わせなどにより結果が異なります
- 治療後も定期的な検診とメンテナンスが大切です
成功率と長期安定への考え方
成功率とは「その場にとどまっている」数値を指し、補綴物の破損など軽微なトラブルは含まれません。インプラントは骨条件に左右されますが、自家歯牙移植は歯根膜の誘導力により骨再生を促すことができます。
当院では5〜10年をひとつの節目とし、炎症・咬合・審美の安定を総合的に評価。
骨量が少ない症例でも、適切な診断と手技によって高い生着率を維持しています。
以下の写真の患者様は、移植した歯の歯根根の成長がまだ終わっていなかったため、歯を削ったり神経を取ったりすることなく、移植から11年経った現在も、そのままの状態で自分の歯として元気に機能しています。
自家歯牙移植の流れ
-
1
診査・診断(レントゲン/CT撮影)
移植可能な歯と移植先の骨量・形態を精査します。
-
2
ドナー歯(例:親知らずなど)の抜歯
できるだけ歯根膜を損傷しないよう慎重に抜歯します。
-
3
受容部(移植先)の形成
歯の大きさや根形態に合わせてソケット(受け皿)を整形します。
-
4
移植・固定
ドナー歯を受容部に移植し、ワイヤーや糸で固定します。
-
5
根管治療(必要に応じて)
歯髄の状態により、後日または即日で根管治療を行います。
-
6
経過観察・最終補綴
数ヶ月後に固定除去し、咬合調整・補綴処置(クラウン等)を行います。
まずはお気軽にご相談ください

「抜歯しかない」「インプラントしかない」と言われても、親知らずがあれば天然歯を残す選択肢はあります。浦安ブランデンタルオフィスでは、審査診断で確かめたうえで最適な治療計画を提示します。静脈内鎮静・完全個室・駐車場完備。女性の方も安心してご来院ください。
当院は痛くない歯科治療を
目指しています。
歯科治療には「痛い」というイメージが先行しがちです。
痛みとその恐怖のストレスで体がこわばると、より痛みを感じやすくなります。
当院では痛くない治療を目指して、麻酔にもこだわっています。安心して受診ください。
痛くない麻酔の秘密
表面麻酔を塗布
麻酔針が刺さるときの痛みを感じさせないように、まずは歯肉に表面麻酔を必ず塗布して感覚を麻痺させます。
極細の麻酔針を使用
通常よりも極細の麻酔針を用いて、できるだけ痛点を刺激せず、痛みを発生させないように麻酔を行ないます。
麻酔薬の温度調節
使用する麻酔薬をあらかじめ人間の体温程度に温めることで、温度差による痛みのリスクを低減させています。
電動麻酔器を使用
麻酔針の注入スピードをコントロールし、無駄な圧力で発生する痛みを抑えた電動麻酔器を使用しています。









