歯ぐきの見た目で
悩んでいませんか
当院では、歯の病気の治療だけでなく、歯を支える大事な「歯肉」の状態を回復させる治療も行なっています。
歯肉を弱める大きな要因は、なんといっても歯周病です。歯周病が進行すると、内部の歯槽骨にまで影響を及ぼし、歯肉の色や質も悪くなります。歯周病の治療が済んでも、後退した歯肉は元の位置に戻らないことがあります。歯肉が下がりすぎて、通常は歯肉に埋もれている歯根部分まで露出すると、歯周病の再発や知覚過敏などのリスクがあり、歯の寿命を弱めることにもつながりかねません。
歯周形成外科では、こうした歯周病でダメージを受けた歯肉を、健康な状態の見た目に回復させる治療を行ないます。審美性の向上はもちろんのこと、歯磨きがしやすくなることで虫歯・歯周病の予防にもなります。
こんなお悩みがある方に
おすすめです

歯肉の色が悪く不健康に見える
歯肉は健康な状態だと、張りのあるピンク色をしています。歯肉の病気になると赤くぶよぶよとした質感になることがあります。また喫煙や歯科金属によって、黒ずむような変色が起こることもあります。歯肉の色の悪さの原因を検査・診断して、必要な場合には歯周形成外科で、修復することが可能です。
歯肉が下がってしまい、歯が長くなった
歯周病や加齢によって歯肉が退縮し、通常は歯肉に埋もれている部分まで歯が露出することがあります。そうなると歯が長くなって見た目がよくないばかりか、知覚過敏などになるリスクも出てきます。一度下がった歯肉が自然に回復することは難しいので、歯周形成外科での治療が有効です。
笑うと前歯や歯ぐきが剥き出しになってしまう
笑うなどして口を開いたときに、上の歯ぐきが大きく露出する「ガミースマイル」と呼ばれる状態があります。とくに健康をおびやかすような危険性はありませんが、口元が目立ってしまうので、気にされる方も多いです。このような問題にも、外科的に対応することが可能です。
歯肉の形がおかしい、歯根が見えている
歯肉が薄くなったり、著しく下がって歯根が見えたりする状態は、歯の健康に悪影響を及ぼします。現在痛みが発生していなくても、知覚過敏や歯根がう蝕される危険があります。外科手術で歯肉を移植して、適切な状態に戻す治療を行なうことができます。
歯周形成外科の治療法

歯冠長延長術
歯冠とは、口の中に生えている歯の見えている部分のことを指します。虫歯治療や外的損傷などで、この歯冠の長さが著しく短くなってしまった歯には、被せ物などの補綴物を取り付けるだけの余裕がありません。そこで歯冠長の足りない歯の周囲の歯肉に対し行なうのが、歯冠長延長術という治療法です。歯肉や骨を切開し、適切な形に整えます。

ガミースマイル治療
ガミースマイルのガミー(Gummy)とは、英語で歯ぐきを意味するガム(Gum)の形容詞形で、笑ったときに前歯の歯肉が目立つ状態のことを指します。健康面の問題はなく、チャーミングさを感じることもある一方で、ガミースマイルをコンプレックスとして笑顔に自信が持てず、思い切り笑うことができないと悩む方もいらっしゃいます。ガミースマイル治療では、患者さまの状態に合った方法を選択するために、カウンセリングと診査をしっかり行ないます。歯の長さが短く歯肉が目立つ場合には、歯冠長延長術を採用したり、上唇が上がり過ぎているときには、上唇粘膜切除術で粘膜を切除したりします。前歯の位置が出すぎている場合には、歯周外科的な治療だけでなく、矯正やセラミック治療も検討されます。
FGG(遊離歯肉移植術)
FGG(遊離歯肉移植術)とは、何らかの原因で角化歯肉(歯槽骨に付着する丈夫な角化層のある歯肉)が失われた箇所に、上顎の口蓋付近の採取しても問題のない部分からとった歯肉を上皮ごと移植する方法です。移植した歯肉が定着すると、見た目にも整った、機能的にも問題のない歯肉に回復します。
CTG(結合組織移植術)
CTG(歯肉結合組織移植術)とは、歯肉が衰えて薄くなったり、抜歯した後の歯肉の土手が陥没するなどしているときに、上顎の口蓋から結合組織(歯根面と接着する歯肉線維)だけを採取して、上皮と骨膜の間に移植する方法です。歯根を覆っている歯肉のボリュームを取り戻します。
根面被覆術
歯肉が下がって歯根が露出してしまっている箇所に対し、周囲の歯肉を切り開いて寄せるように移動させ、根面に覆い被せる方法です。周囲から移動させるので、手術する部位が1ヵ所で済みます。別箇所からの移植と違って、歯肉の色味の違いがないというメリットがあります。
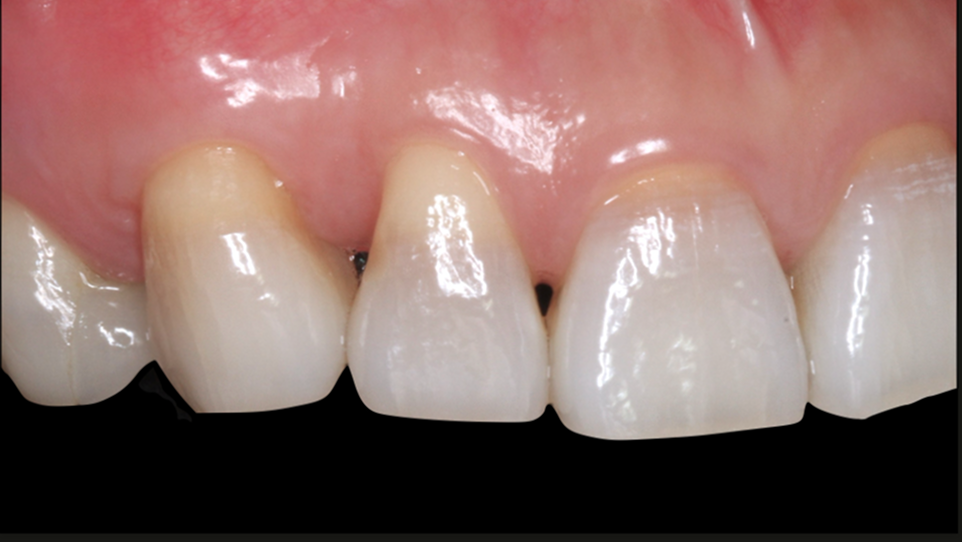
治療当院で行った歯周形成外科の症例
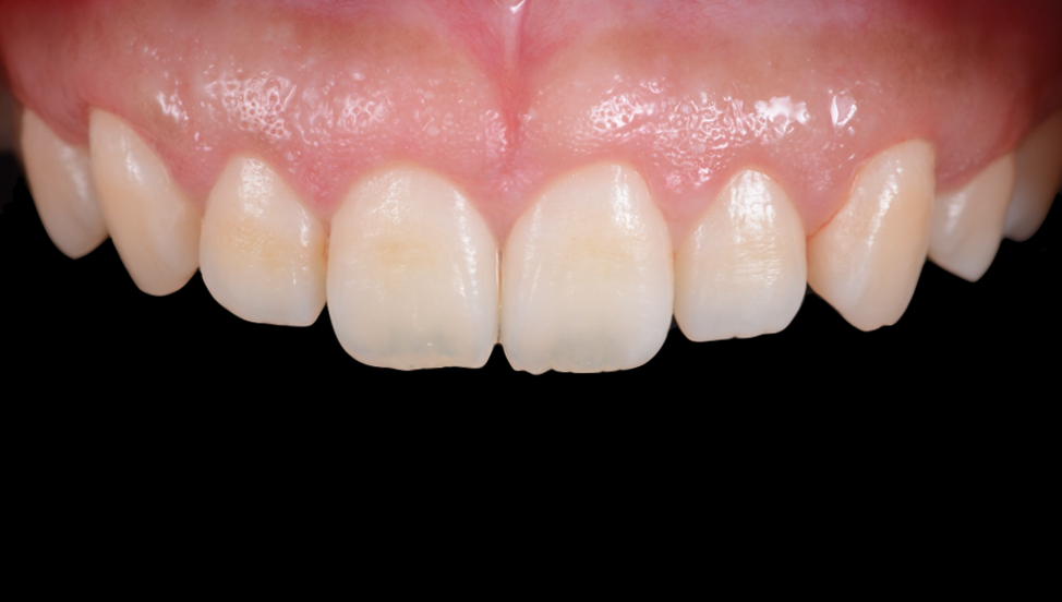
歯冠長延長術で歯を保存した上で審美性も改善した症例




- 年代、性別 53歳・女性
- 来院動機 インプラントにはしたくない
- 治療内容 精密根管治療、クラウンレングスニング
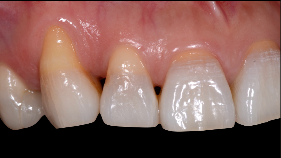
ガミースマイルを歯周形成外科で改善し、笑顔を取り戻した症例


- 年代、性別 30代・女性
- 来院動機 ガミースマイルを治したい
- 治療内容 歯周形成外科
ガミースマイルを歯周形成外科で改善した症例


- 年代、性別 27歳・女性
- 来院動機 ガミースマイルを治したい
- 治療内容 歯周形成外科
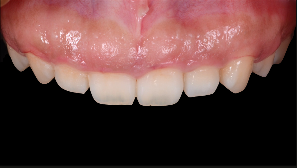
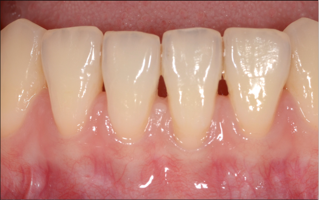
FGG(遊離歯肉移植術)で歯肉増大と歯の根元を被覆した症例


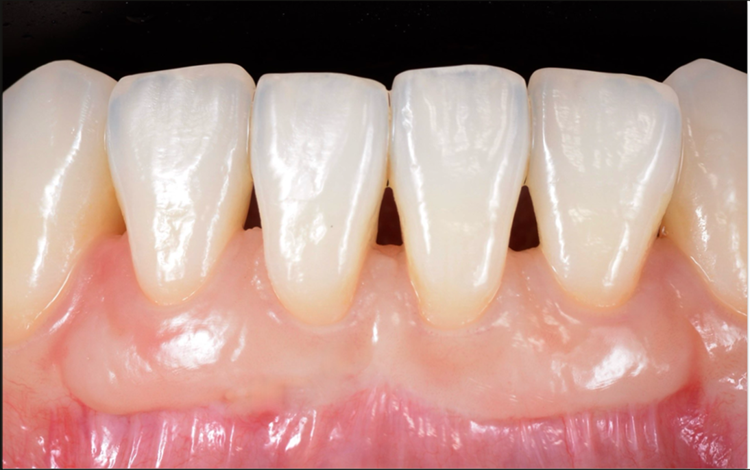
根面被覆術で歯肉退縮を改善した症例


当院は痛くない歯科治療を
目指しています。
歯科治療には「痛い」というイメージが先行しがちです。
痛みとその恐怖のストレスで体がこわばると、より痛みを感じやすくなります。
当院では痛くない治療を目指して、麻酔にもこだわっています。安心して受診ください。
痛くない麻酔の秘密
表面麻酔を塗布
麻酔針が刺さるときの痛みを感じさせないように、まずは歯肉に表面麻酔を必ず塗布して感覚を麻痺させます。
極細の麻酔針を使用
通常よりも極細の麻酔針を用いて、できるだけ痛点を刺激せず、痛みを発生させないように麻酔を行ないます。
麻酔薬の温度調節
使用する麻酔薬をあらかじめ人間の体温程度に温めることで、温度差による痛みのリスクを低減させています。
電動麻酔器を使用
麻酔針の注入スピードをコントロールし、無駄な圧力で発生する痛みを抑えた電動麻酔器を使用しています。









